
Odontología Estética
Carillas de Porcelana
Descripción del Procedimiento
Las carillas han revolucionado la forma de tener dientes rectos y blancos permanentes en 10 días. Las carillas de porcelana son cáscaras delgadas y hechas a medida de cerámica de grado médico que se adhieren a la superficie frontal de sus dientes. Este procedimiento muy mínimamente invasivo permite a la mayoría de los pacientes lograr resultados instantáneos en una o dos semanas. El dentista eliminará una pequeña cantidad de esmalte (típicamente 0.5 mm) para dejar espacio para la carilla, tomará impresiones precisas y hará que sus carillas se elaboren en un laboratorio dental. Una vez listas, las carillas se adhieren permanentemente a sus dientes utilizando un adhesivo especial y luz de curado, creando una transformación de sonrisa hermosa y de aspecto natural que los pacientes prefieren por su velocidad y efectividad.
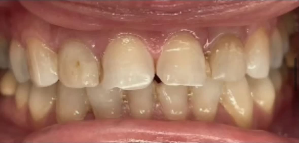
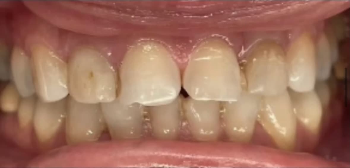
Antes de las Carillas

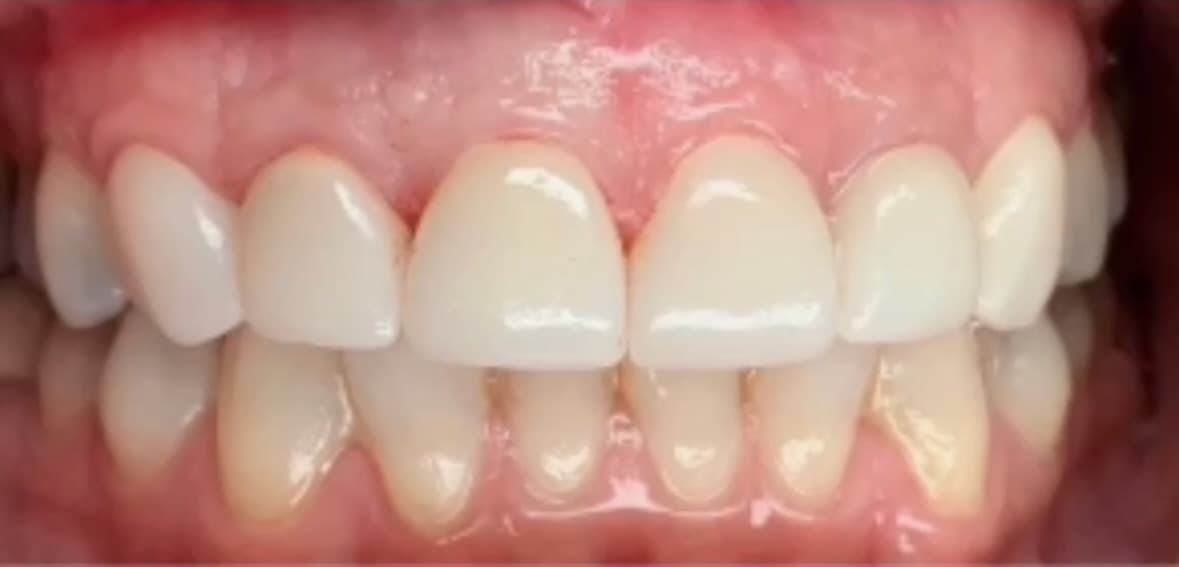
Después de las Carillas

Indicaciones
Las carillas de porcelana son una excelente solución cosmética para transformar la apariencia de sus dientes frontales en solo 10 días. Este procedimiento mínimamente invasivo es ideal para pacientes que desean resultados instantáneos y quieren corregir:
Cuándo Considerar Carillas de Porcelana
Decoloración Severa
Manchas que no responden a los tratamientos de blanqueamiento, incluidas las manchas de tetraciclina o fluorosis.
Dientes Astillados o Desgastados
Daño moderado a las superficies de los dientes que afecta la apariencia.
Espacios y Problemas de Espaciado
Espacios pequeños a moderados entre los dientes que desea cerrar permanentemente.
Desalineación Menor
Dientes ligeramente torcidos o desiguales que no requieren tratamiento ortodóntico completo: obtenga dientes rectos en una o dos semanas.
Dientes de Forma Irregular
Dientes que son demasiado pequeños, demasiado grandes o tienen contornos inusuales.
Nota: Las carillas requieren dientes y encías saludables. Si tiene caries dental significativa, enfermedad de las encías o desalineación severa, es posible que deban completarse otros tratamientos primero. Las carillas son un enfoque mucho más conservador que las coronas, eliminando menos estructura dental mientras logran el mismo aspecto. Este enfoque conservador significa menos sensibilidad y un riesgo significativamente menor de requerir tratamiento de conducto en comparación con las preparaciones de coronas.
Beneficios
¿Por Qué Elegir Carillas de Porcelana?
Resultados Rápidos - 10 Días
Obtenga dientes rectos y blancos permanentes en 10 días. La mayoría de los pacientes prefieren los resultados instantáneos que proporcionan las carillas, con finalización en solo una o dos semanas.
Enfoque Conservador
Las carillas son un enfoque mucho más conservador que las coronas, eliminando una estructura dental mínima (típicamente 0.5 mm) mientras logran el mismo aspecto hermoso que una corona.
Minimiza la Sensibilidad
Debido a que las carillas eliminan mucha menos estructura dental en comparación con las preparaciones de coronas, los dientes permanecen menos sensibles y más cómodos a largo plazo.
Reduce la Necesidad de Conductos
La naturaleza conservadora de la preparación de carillas reduce significativamente el riesgo de necesitar tratamiento de conducto. Las coronas eliminan más estructura dental, lo que puede comprometer el nervio y aumentar la probabilidad de requerir terapia de conducto.
Resistente a las Manchas
La porcelana es altamente resistente a las manchas de café, té, vino y tabaco.
Larga Duración
Con el cuidado adecuado, las carillas de porcelana típicamente duran 10-15 años o más.
Alternativas
Adhesión Dental
Menos costosa y más rápida pero no tan duradera o resistente a las manchas
Blanqueamiento Dental
Efectivo solo para la decoloración, pero no aborda la forma o alineación
Coronas
Requeridas para dientes con daño extenso o problemas estructurales, pero eliminan significativamente más estructura dental, lo que puede llevar a una mayor sensibilidad y mayor riesgo de necesitar tratamiento de conducto
Ortodoncia
Mejor solución para desalineación significativa o problemas de mordida
Costo y Tarifas
El costo promedio de las carillas de porcelana varía. Su costo de bolsillo variará dependiendo de la cobertura del seguro. Contáctenos para precios exactos y para conocer nuestras opciones de pago flexibles y cobertura de seguro.
Autor
Dr. Vahag Mehrabian
Preguntas Frecuentes
Servicios Relacionados
Ubicaciones que Ofrecen Carillas de Porcelana
Disponible en todas las ubicaciones de Prime Dental en el Condado de Los Ángeles
Programar una Consulta
¿Listo para saber más sobre este tratamiento? Contáctenos hoy.
Reservar Cita